Primary basaloid squamous cell carcinoma of the parotid gland mimicking metastasis of basal cell carcinoma of the contralateral periorbital region: case report
Introduction
Basaloid squamous cell carcinoma (BSCC) in the head and neck area was first described by Wain et al. in 1986 (1). World Health Organization defined BSCC as a high-grade variant of squamous cell carcinoma composed both of basaloid and squamous components (2). The most characteristic histology feature of BSCC is a “jigsaw puzzle” growth pattern. Other histologic characteristics of BSCC include solid nesting, comedonecrosis, cribriform pattern, trabecular arrangement and ductal differentiation (3,4). Due to histopathological similarity to salivary gland tumors, BSCC can be misdiagnosed with other parotid gland malignancies (5). Specific treatment of BSCC has not been established yet, as the tumor is extremely rare. Review of the literature revealed only one case of bilateral parotid gland BSCC published by Rivero et al. (6).
We report the first case of BSCC arising from parotid gland in Europe and second in the world literature. We present the following case in accordance with the CARE reporting checklist (available at https://gs.amegroups.com/article/view/10.21037/gs-21-646/rc).
Case presentation
Patient
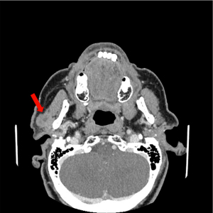
A 72-year-old female patient was referred to the Department of Cranio-Maxillofacial Surgery of the Jagiellonian University in Poland due to the tumor arising from the right parotid gland. The patient was repeatedly operated on in the years 2010 to 2018 in other institution due to recurrence of the BCC of the medial canthal region of the left eyelids. The last recurrence caused infiltration of the left orbit that led to necessity of orbital exenteration in August 2018. Due to inadequate margins of resection, postoperative radiotherapy (PORT) was performed (60 Gy in 30 fractions). After two years of the follow up without recurrence, tumor arising from the parotid gland on the contralateral site was diagnosed. Physical examination revealed that the skin above the tumor was unchanged. The tumor of the parotid gland was not movable. However, we did not observe any signs of peripheral facial nerve paresis. Computed tomography (CT) showed tumor with dimensions 16 mm × 17 mm × 15 mm located in the superficial flap of the parotid gland without penetrating to the deep parotid flap. The tumor adhered to the posterior edge of the masseter muscle and to the lateral surface of the mandibular ramus without bone destruction (Figure 1). There were neither ipsilateral enlarged lymph nodes on the neck nor distant metastases.
Surgery and PORT
We performed total parotidectomy with facial nerve preservation. Three days following surgery the patient was dismissed home. The healing process was uneventful, transient, and slight paresis of the zygomatic branch of facial nerve for 1 month was observed. PORT was carried out, and the patient received 70 Gy in 30 fractions on the parotid gland area due to the fact that the tumor adhered to the facial nerve trunk and branches, additionally 60 Gy on the neck area in I, II and III levels. We did not perform radical parotidectomy to avoid consequences and complications such as lagophthalmos caused by facial nerve paresis to improve patient’s quality of life. Fourteen months of the follow up did not reveal local recurrence or distant metastasis in diagnostic imaging as well as any adverse and unanticipated events.
All procedures performed in studies involving human participants were in accordance with the ethical standards of the institutional and/or national research committee(s) and with the Helsinki Declaration (as revised in 2013). Written informed consent was obtained from the patient for publication of this case report and accompanying images. A copy of the written consent is available for review by the editorial office of this journal.
Pathology
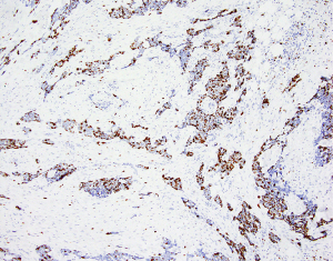
To distinguish the tumor of the parotid gland from the possible metastasis from BCC of the left medial canthal region previous histopathological slides were also reexamined and compared with histopathological examination of the removed parotid gland tumor. In histopathological examination, high similarity, almost identical morphology and antigenic expression of the right parotid gland tumor and previously excised BCC of the left eyelid was described. p40, p63 and Ep-Cam staining performed on the right parotid gland tumor and BCC of the left eyelid showed an identical, strong expression of all the antigens mentioned above. The Ki-67 labeling index in the right salivary gland tumor was about 60%, and in the BCC of the left eyelid was higher (80% to even 90%). The labeled nuclei were not limited to the basal layer of cell nests, but were equally distributed in the cancer foci which is an essential feature for differentiating between squamous cell carcinoma and basaloid squamous cell carcinoma. In our case p40, p63 and Ep-Cam staining were applied to differentiate squamous cell carcinoma from basaloid carcinoma and the result confirmed the basaloid nature of squamous cell carcinoma (Figure 2).
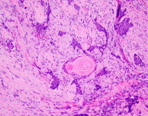
The right parotid gland tumor showed almost identical “basaloid” morphology as the BCC of the left eyelid, except that there were incomparably more features of keratinization evinced in keratin pearls formation (Figure 3). However, the manner of tumor growth of the right salivary gland was more typical for a newly formed cancerous lesion than for a metastasis focus, and with any possibility that both tumors could show anatomical continuity led to conclusion that the right salivary gland tumor was an independent, primary focus of the BSCC pT3N0Mx, stage II.
Discussion
BSCC is an uncommon tumor with a predilection for the upper aerodigestive tract. It is considered to be a distinct variant of squamous cell carcinoma due to its unique histological features and aggressive clinical behavior. It is mostly seen in male patients between 6th and 7th decade of life. Tobacco and alcohol abuse were also described as risk factors. The incidence of cervical lymph node metastases is about 40–64%, and the distant metastases may occur in 44–52% of cases (5,7,8). In most cases metastases occur in regional lymph nodes, but distant metastases may also involve lungs, bone, skin and brain (5). BSCC most frequently occurs in head and neck region in supraglottic larynx, hypolarynx and base of tongue. Other less common sites in head and neck area are: buccal mucosa, floor of the mouth, sinonasal tract and nasopharynx (6). However, it has been also described in the esophagus, lungs and cervix (3,4). According to Fritsch and Lentsch, BSCC has different survival rate depending on location (3). In the reviewed literature, we found only one case of BSCC arising from the parotid gland (6). Moreover, any specific treatment of BSCC of salivary glands has not been described yet. However, in the reviewed literature, surgery with neck dissection and PORT are considered as the treatment of choice in BSCC of head and neck. In our case total parotidectomy with facial nerve preservation and PORT were performed. Although, in the reviewed literature perineural invasion was described (9), in our case, we did not notice perineural invasion and facial nerve paresis.
According to Wain et al. (1), who established histological criteria of BSCC: solid growth of cells in a lobular configuration, small, crowded cells with scant cytoplasm, dark hyperchromatic nuclei without nucleoli and small cystic spaces with mucin-like material are characteristic for the tumor. Another prominent histopathologic feature of BSCC is its resemblance with squamous cell carcinoma, dysplasia or focal squamous differentiation (1). Nuclear pleomorphism, hyperchromasia, high mitotic activity and necrosis, which especially when seen all together, worsen prognosis, indicating high-grade malignancy (10).
During histopathological examination, BSCC can be confused with other malignant tumors arising from parotid glands such as: adenoid cystic carcinoma, mucoepidermoid carcinoma, polymorphous adenocarcinoma and basal cell adenocarcinoma (5). According to Emanuel et al., immunohistochemical staining for the presence of p63 can be useful in differential diagnosis with high-grade adenoid cystic carcinoma (11).
Due to lack of cases of BSCC arising from salivary glands it is hard to define proper prognosis. However, according to the study conducted by Altavilla et al., BSCC of head and neck region has aggressive biological behavior characterized by perineural invasion, lymph node and distant metastases (12).
In conclusion, primary BSCC of the parotid gland is an extremely rare entity. In our knowledge this is the second described case of the parotid gland BSCC in English literature and first in Europe. Only case report studies are not of sufficient statistical power to estimate specific treatment and overall survival.
Acknowledgments
Funding: None.
Footnote
Reporting Checklist: The authors have completed the CARE reporting checklist. Available at https://gs.amegroups.com/article/view/10.21037/gs-21-646/rc
Peer Review File: Available at https://gs.amegroups.com/article/view/10.21037/gs-21-646/prf
Conflicts of Interest: All authors have completed the ICMJE uniform disclosure form (available at https://gs.amegroups.com/article/view/10.21037/gs-21-646/coif). The authors have no conflicts of interest to declare.
Ethical Statement: The authors are accountable for all aspects of the work in ensuring that questions related to the accuracy or integrity of any part of the work are appropriately investigated and resolved. All procedures performed in studies involving human participants were in accordance with the ethical standards of the institutional and/or national research committee(s) and with the Helsinki Declaration (as revised in 2013). Written informed consent was obtained from the patient for publication of this case report and accompanying images. A copy of the written consent is available for review by the editorial office of this journal. The study was approved by the bioethics committee of the Collegium Medicum, Jagiellonian University in Cracow (No. 1072.6120.139.2021, 16th June 2021).
Open Access Statement: This is an Open Access article distributed in accordance with the Creative Commons Attribution-NonCommercial-NoDerivs 4.0 International License (CC BY-NC-ND 4.0), which permits the non-commercial replication and distribution of the article with the strict proviso that no changes or edits are made and the original work is properly cited (including links to both the formal publication through the relevant DOI and the license). See: https://creativecommons.org/licenses/by-nc-nd/4.0/.
References
- Wain SL, Kier R, Vollmer RT, et al. Basaloid-squamous carcinoma of the tongue, hypopharynx, and larynx: report of 10 cases. Hum Pathol 1986;17:1158-66. [Crossref] [PubMed]
- Barnes C, Eveson J, Reichart P, et al. Pathology and genetics. Head and neck tumors. World Health Organization Classification of Tumors. Lyon, France: IARC Press, 2005.
- Fritsch VA, Lentsch EJ. Basaloid squamous cell carcinoma of the head and neck: location means everything. J Surg Oncol 2014;109:616-22. [Crossref] [PubMed]
- Cho KJ, Jeong SU, Kim SB, et al. Basaloid Squamous Cell Carcinoma of the Head and Neck: Subclassification into Basal, Ductal, and Mixed Subtypes Based on Comparison of Clinico-pathologic Features and Expression of p53, Cyclin D1, Epidermal Growth Factor Receptor, p16, and Human Papillomavirus. J Pathol Transl Med 2017;51:374-80. [Crossref] [PubMed]
- Peddapelli K, Rao GV, Sravya T, et al. Basaloid squamous cell carcinoma: Report of two rare cases and review of literature. J Oral Maxillofac Pathol 2018;22:285. [Crossref] [PubMed]
- Rivero A, Tang CG, Rasgon BM. Bilateral Basaloid Squamous Cell Carcinoma of the Parotid Gland: A Case Report and Review of the Literature. Perm J 2017;21:16-042. [Crossref] [PubMed]
- Begum S, Westra WH. Basaloid squamous cell carcinoma of the head and neck is a mixed variant that can be further resolved by HPV status. Am J Surg Pathol 2008;32:1044-50. [Crossref] [PubMed]
- Raslan WF, Barnes L, Krause JR, et al. Basaloid squamous cell carcinoma of the head and neck: a clinicopathologic and flow cytometric study of 10 new cases with review of the English literature. Am J Otolaryngol 1994;15:204-11. [Crossref] [PubMed]
- Boyd AS, Stasko TS, Tang YW. Basaloid squamous cell carcinoma of the skin. J Am Acad Dermatol 2011;64:144-51. [Crossref] [PubMed]
- Paulino AF, Singh B, Shah JP, et al. Basaloid squamous cell carcinoma of the head and neck. Laryngoscope 2000;110:1479-82. [Crossref] [PubMed]
- Emanuel P, Wang B, Wu M, et al. p63 Immunohistochemistry in the distinction of adenoid cystic carcinoma from basaloid squamous cell carcinoma. Mod Pathol 2005;18:645-50. [Crossref] [PubMed]
- Altavilla G, Mannarà GM, Rinaldo A, et al. Basaloid squamous cell carcinoma of oral cavity and oropharynx. ORL J Otorhinolaryngol Relat Spec 1999;61:169-73. [Crossref] [PubMed]

