Unexpected cause of superior vena cava syndrome
Superior vena cava syndrome (SVCS) may be caused by an extrinsecal vessel compressing or by thrombosis. Symptoms are edema of the face and arms and development of swollen collateral veins on the front of the chest wall, shortness of breath, coughing, headache and stridor. Bronchogenic carcinoma, Burkitt’s lymphoma, lymphoblastic lymphomas, pre-T-cell lineage acute lymphoblastic leukemi, and other acute leukemia are the main cause of SVCS (1).
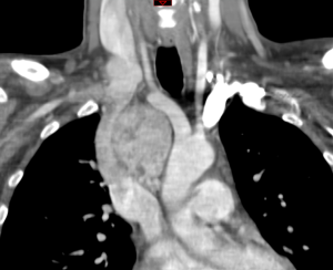
Herein we present here a case of SVCS caused by an ectopic thyroid lobe mimicking a mediastinal tumor. A 42-year-old woman went to our unit with facial flush and swelling and headache. Patient medical history was unremarkable, no smoking habits was remarked. During the neck examination a right lymphadenopathy was palpable and goiter thyroid was observed on the left side. An unclear mediastinal mass was observed at chest radiography associated with a tracheal compression (Figure 1). A Computed Tomography was performed (Figure 2). A scintigraphy was performed and a thyroid goiter was diagnosed. The patient underwent to surgical excision of the tumoral mass by sternotomy incision associating a thyroidectomy. Surgery was uneventful and patient was discharged on post operative day 7. Thyroid tissue was observed at pathology exam. Mediastinal ectopic thyroid tissue is rare. This finding is an embryological abnormality characterized by the occurrence of thyroid tissue in a site other than its usual location. The Ectopic tissues are currently described in literature and it is a result of a migration defect during embryological development or after a trauma (2,3). SVCS is in near of 97% of cases caused by malignancy (1) and thyroid cancer as primary etiology is extremely rare (4). In our case a secondary goiter of ectopic thyroid tissue was the cause of SVCS; surgical treatment was a therapeutic cure for the patient.
Acknowledgements
None.
Footnote
Conflicts of Interest: The authors have no conflicts of interest to declare.
References
- Padmanabhan H. Superior vena cava syndrome: a presentation of anaplastic thyroid carcinoma. J Clin Oncol 2010;28:e151-4. [PubMed]
- Aydogan F, Aydogan A, Akkucuk S, et al. Thyroid hemiagenesis, ectopic submandibular thyroid tissue, and apparent persistent subclinical thyrotoxicosis. Thyroid 2013;23:633-5. [PubMed]
- Yang YS, Hong KH. Case of thyroid hemiagenesis and ectopic lingual thyroid presenting as goitre. J Laryngol Otol 2008;122:e17. [PubMed]
- Wada N, Masudo K, Hirakawa S, et al. Superior vena cava (SVC) reconstruction using autologous tissue in two cases of differentiated thyroid carcinoma presenting with SVC syndrome. World J Surg Oncol 2009;7:75. [PubMed]



