Position of male nipple areolar complex in masculinizing chest contouring surgery—a new technique from the constant anatomical relationship with pectoralis major muscle
Highlight box
Key findings
• The average distance from the lateral border of the pectoralis major muscle to the nipple was 5.49 and 4.0 cm from the inferior border.
• BMI and chest circumference significantly affected the lateral distance to the nipple (P=0.004), suggesting that nipple-areolar complex (NAC) positioning can be individualized based on patient body morphology.
What is known and what is new?
• Previous studies have offered inconsistent recommendations for NAC placement, often relying on surface anatomical landmarks or the shadow of the pectoralis major in photographs-methods prone to variability due to changes in body habitus and positioning.
• This study proposes a muscle-based approach, using the actual borders of the pectoralis major, which are visible during surgery, as a more reliable and reproducible reference for NAC location. Importantly, all measurements were obtained using ultrasound in a supine position with 90° arm abduction, mirroring the intraoperative setting. This ensures the method is both practical and precise during surgery.
What is the implication, and what should change now?
• The measured distances may appear longer than those in previous studies because the true lateral edge of the pectoralis major was used, not its bulkier region or photographic shadow. Additionally, perpendicular ultrasound probe placement added measurable depth.
• Surgeons should ensure the lateral border is marked perpendicularly to the chest wall during surgery. Anterior misplacement can result in medially displaced nipples, compromising aesthetic outcomes.
Introduction
Globally, society is becoming open and accepting gender diversity. Individuals with diverse gender identities are able to live daily lives more aligned with their gender orientation, contributing to improved psychosocial health. Gender-affirming surgeries encompass various procedures and types. Among transmen, the most commonly chosen as initial surgery, most frequently performed and occasionally, the only surgical procedure is chest wall masculinization. Chest masculinization includes elimination of breasts and creation of aesthetic pleasing male chest contour. Removing breasts, the feminine characteristics, in transmen would help facilitate living a lifestyle more consistent with male gender identity (1-3).
Breasts are considered a hallmark of femininity, and as such, they present as significant barriers in daily lives of transmen. Transmen typically would conceal their breasts by binding them underclothes in order to achieve a flat, masculine chest appearance. This practice not only causes physical discomfort but also can result in distortion of the underlying soft tissue. Chest masculinization surgery (top surgery) plays a crucial role in promoting both the physical and psychological well-being for transmen, enhancing their self-confidence and quality of life (4,5).
Currently, there are several techniques used in chest masculinization surgery for transmen. Surgeons would select incision and method based on the patient’s breast characteristics (3,5-8). For patients with smaller breasts that do not exhibit ptosis and have good skin elasticity, the preferred approach is often a periareolar incision. This technique allows removal of breast tissue through the incision around the areola, minimizing the visibility of the scar by strategically conceal along the areolar border. In addition, surgeons must contour the chest by removing natural inferior and lateral mammary folds, which are characteristics of female breasts.
On the other hand, patients with larger breasts or those with ptosis are often treated with long incision placed along the inframammary fold, where the scar can be hidden in the shadow or contour of the pectoralis muscle. The incision is long and camouflaged by mimicking the natural shadow of the pectoral muscle, as seen in muscular chest contour. For this group of patients, the repositioning and resizing of the nipple and areola are necessary because nipple-areolar complex (NAC) would be removed together with the breasts. The excised NAC is carefully harvested as a graft, its size and shape adjusted, and then re-placed in its new position on the chest. Placing the NAC in a lateral and superior position—relative to the original female anatomy (9)—is a critical factor in achieving the masculine chest appearance. The areola undergoes reduction and reshaping, from circular shape to an oblique oval shape with a smaller diameter, before being placed as an areolar graft. As such, the final positioning of these structures is essential to the overall success of the surgery. Despite the importance of this step, there is currently no standardized method to precisely verify the placement intraoperatively.
Various formulas have been proposed for calculating the optimal position of the nipple and areola complex. For example, Atiyeh et al. (10) proposed a formula using the Phi (the golden ratio) and two distance measurements: one from the umbilicus to the anterior axillary fold and another from the umbilicus to the suprasternal notch. Beer et al. (11) used the chest circumference and sternum length to create a formula for NAC position.
However, a study by Monstrey et al. (12) found that relying solely on formulas often results in an unnatural final position. Therefore, some methods use surface anatomy to determine the position. For example, Tanini and colleagues (13,14) proposed a method for NAC position by placing the middle finger along lateral border and the thumb along the lower edge of the pectoralis major muscle. The tip of the index finger was then used to estimate the position of the new nipple. Agarwal et al. (15) used photographs compared the pectoralis muscle shadow in 32 volunteers, waterpolo athletes. They found that the nipple should be placed 2.5 cm lateral from the side border and 2.2 cm superior from the lower edge of the pectoralis muscle shadow.
This study believes that the appropriate position for the nipple and areola should be compared directly with one’s own pectoralis major muscle. Individuals with smaller body types tend to have smaller pectoral muscles, while those with larger body types would have broader muscles. Moreover, individuals who engage in physical exercise or use hormones to modify their physique typically have more developed, pronounced pectoral muscles. Therefore, the ideal positioning should be compared with the pectoral muscle directly, rather than using fixed anatomical landmarks such as the clavicle, ribs, or measurements taken from soft tissue, as these measurements can be affected by many significant variabilities as body type or position. Furthermore, direct muscle assessment is easy to perform intra-operatively, making it a more convenient, precise, and reproducible method.
Additionally, a review of relevant literature reveals that the position of the nipple and areola changes significantly in standing versus supine positions (16). All calculations and measurements for the above studies were all performed in the standing position (8,17-19), while the surgery is conducted in supine position with shoulder abduction. This study therefore aims to investigate the position of the male nipple and areola in relation to actual pectoralis major muscle, to provide a position that is practical and applicable in the operating room. We present this article in accordance with the STROBE reporting checklist (available at https://gs.amegroups.com/article/view/10.21037/gs-2025-230/rc) (20).
Methods
This prospective study was conducted in collaboration with the Department of Plastic and Reconstructive Surgery and the Department of Diagnostic Radiology at King Chulalongkorn Memorial Hospital from October 2021 to September 2024.
Participant selection
Thirty-eight healthy male volunteers were recruited for surface anatomy assessment and chest wall ultrasound examination. Inclusion criteria were healthy male, aged 20 to 40 years, literate to make inform consent and voluntarily participate in the research. This age range was chosen because it represents the majority of patients undergoing surgery in Thailand. Additionally, we excluded individuals who were either too young, with an underdeveloped chest wall, or older adults, whose chest wall anatomy may have age-related changes. Besides, exclusion criteria included any abnormal chest anatomy such as pectus excavatum, pectus carinatum, Poland syndrome, scoliosis, obesity or a history of chest wall surgery or trauma.
Ethical considerations
This study was conducted in accordance with the Declaration of Helsinki and its subsequent amendments. The study protocol was approved by the Institutional Review Board, Faculty of Medicine, Chulalongkorn University (IRB No. 671/64). Chulalongkorn University serves as the overseeing ethics committee for research conducted within affiliated hospitals, including King Chulalongkorn Memorial Hospital. Informed consent was obtained from all participants after providing thorough information about the study.
Sample size calculation
Based on literature review (12,13,21) and expert opinions, a sample size was determined by assuming that 95% of the participants exhibit normal chest anatomy, whom we recruited and presumed from inclusion and exclusion criteria to have standard male chest (P=0.95). The desired precision was set at 5% (e=0.05), and a Z-value of 1.96 was used to establish a 95% confidence interval. Using the formula for sample size calculation:
The calculated sample size was 73. As a result, we recruited a total of 76 breasts from 38 volunteers to ensure adequate statistical power.
Participant classification
Participants were classified into groups based on chest width, body mass index (BMI), and height to facilitate analysis. Chest width was categorized into two groups: the narrow chest group, which included participants with a chest width below the median value of the study population, and the wide chest group, comprising those with a chest width at or above the median. BMI classification followed the World Health Organization (WHO) criteria using 25.0 kg/m2. However, this study used the average BMI of 22.8 kg/m2. Participants with a BMI of 22.8 kg/m2 or lower were classified as lower BMI, while a BMI greater than 22.8 kg/m2 were higher BMI. This approach better reflects the sample’s characteristics. For height classification, participants were divided into two groups based on the median height of the study population: the short group, including individuals with height below the median, and the tall group, consisting of those with height at or above the median.
Ultrasound measurement
All measurements were conducted using consistent setting and the same ultrasound. Participants were positioned supine with 90-degree shoulder abduction to replicate the intraoperative posture. Data collected included surface anatomy measurements as depicted in Figure 1 and Table 1. Ultrasound measurement was conducted by a single researcher under supervision of a radiologist specializing in musculoskeletal imaging. All ultrasound images were captured and documented comprehensively.
Table 1
| Variables | Value (N=38) |
|---|---|
| Age (years) | |
| 20–25 | 5 (13.2) |
| 26–30 | 25 (65.8) |
| ≥31 | 8 (21.1) |
| Mean ± SD [range] | 29.47±5.26 [23–54] |
| Body weight (kg) | |
| ≤60 | 7 (18.4) |
| 61–70 | 16 (42.1) |
| 71–80 | 12 (31.6) |
| ≥81 | 3 (7.9) |
| Mean ± SD [range] | 68.62±8.55 [53–85] |
| Height (cm) | |
| ≤170 | 14 (36.8) |
| 171–180 | 21 (55.3) |
| ≥181 | 3 (7.9) |
| Mean ± SD [range] | 173.45±6.55 [160–193] |
| BMI (kg/m2) | |
| <18.50 | 1 (2.6) |
| 18.50–22.99 (normal) | 20 (52.6) |
| 23.00–29.99 (overweight) | 17 (44.7) |
| Mean ± SD [range] | 22.79±2.39 [18.01–28.01] |
| Chest group (cm) | |
| Narrow chest group | 19 (50.0) |
| Wide chest group | 19 (50.0) |
| Mean ± SD [range] | 90.87±6.74 [78–103.5] |
Data are presented as n (%) unless otherwise specified. BMI, body mass index; SD, standard deviation.
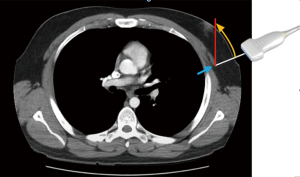
In this study, the ultrasound technique was performed as follows: a line was initially drawn connecting the nipples, extending to anterior axillary line on both sides. The linear ultrasound probe was placed along this line to identify the most distal point of lateral border of pectoralis major muscle. Once identified, the probe was adjusted so that the border aligned with the central marker (mid-probe), and this point was marked on the skin (Figure 2). This marked location corresponded to the lateral pectoral border at the nipple level, perpendicular to the chest wall (Figure 3). The distance from this point to nipple was measured using a tape measure and recorded. For the inferior border, the ultrasound probe was rotated 90 degrees and placed just below the nipple, perpendicular to the initial reference line. The same measurement protocol was followed for inferior pectoral border to nipple distance.
Statistical analysis
The Statistical Package for the Social Sciences for (SPSS) Windows program version 23 was used to analyze the data. Descriptive statistics including means, and standard deviations, frequencies, percentages were calculated to present participant demographics. The association between the ratio of surface anatomy and body morphology (weight, height, and BMI) was assessed using a t-test, with a significance level of 0.05. The anatomy of the NAC was analyzed by calculating mean values.
Results
Demographic data was presented in Table 1. A total of 38 healthy male volunteers participated in this study, with a mean age of 29.5 years and BMI of 22 kg/m2. Areolar shape is 87.5% in oval shape and positioned obliquely. The average horizontal length of areola was 2.47 cm and the average vertical length was 1.9 cm. The average nipple diameter is 5 mm with a projection of 1.8 mm. The ratio between inter-nipple distance to chest circumference at the nipple level (horizontal ratio) is 0.228, while the ratio of distance from suprasternal notch to nipple level (vertical ratio), relative to the distance from suprasternal notch to umbilicus was 0.42 (Figure 1).
For ultrasound measurements of nipple location, the average distance from lateral pectoral border to nipple was 5.49 cm, and the average distance from the inferior pectoral border to nipple was 4 cm. Noted that these measurements refer to the distances on skin, measured perpendicularly to chest wall from skin surface referring to points at outermost muscle border in the chest wall.
Statistical analysis revealed no significant correlation between both mentioned ratios to body morphology (weight and height). However, the pectoral border distance to nipple showed interesting findings. There was a significant difference in the distance from lateral pectoral border to nipple when participants were divided into two groups—lower and higher BMI—by using average chest circumference and BMI (P=0.004). The distances from inferior pectoral border to nipple, though, had no significant difference when participants again categorized into two groups—tall and short—based on average height (P=0.24). The findings were shown in Tables 2-4.
Table 2
| Distance to nipple (cm) | Narrow chest group (N=19) | Wide chest group (N=19) | t | P value |
|---|---|---|---|---|
| Lateral pectoral border | 5.176±0.63 | 5.752±0.51 | −3.081 | 0.004 |
| Inferior pectoral border | 4.012±0.88 | 4.081±0.67 | −0.260 | 0.80 |
Data are presented as mean ± standard deviation.
Table 3
| Distance to nipple (cm) | Lower BMI (N=20) | Higher BMI (N=18) | t | P value |
|---|---|---|---|---|
| Lateral pectoral border | 5.192±0.65 | 5.766±0.48 | −3.625 | 0.004 |
| Inferior pectoral border | 4.067±0.99 | 4.028±0.45 | −0.117 | 0.87 |
Data are presented as mean ± standard deviation. Lower BMI: BMI ≤22.8 kg/m2; higher BMI: BMI >22.8 kg/m2. BMI, body mass index.
Table 4
| Distance to nipple (cm) | Short group (N=20) | Tall group (N=18) | t | P value |
|---|---|---|---|---|
| Lateral pectoral border | 5.405±0.75 | 5.530±0.50 | −0.612 | 0.55 |
| Inferior pectoral border | 3.907±0.99 | 4.205±0.60 | −1.221 | 0.24 |
Data are presented as mean ± standard deviation. Short group: height ≤173.4 cm; tall group: height >173.4 cm.
Discussion
As hypothesized, the optimal position for NAC should be aligned with the pectoralis major muscle, with its size and form adjusted according to individual’s body types. The pectoralis major muscle is also readily accessible during surgery, making it a reliable anatomical reference. In this paper, all measurements were undertaken with the patient in supine position with shoulder abduction which mimic intraoperative position. Thus, the distances measured in this study can be directly applied during surgery.
After double incision mastectomy, excess skin and breast tissue are removed, and chest wall is contoured flat, masculine shape. The next step is to identify the lateral and inferior borders of pectoral major muscle and mark the most lateral and inferior points on skin. It is crucial to ensure that skin markings are made perpendicular to chest wall, rather than directly anterior, as illustrated in Figure 3. This distinction explains why our study reports longer distances compared to previous studies that relied on the shadow of the pectoral muscle or the palpable border of the muscle. In those studies, the borders were not the true lateral or most inferior limits of the muscle, but rather palpable muscle bulk or shadow. Therefore, skin markings were often placed anteriorly to those points. As a result, distances from pectoral borders in these studies present shorter distances (13-15).
After marking the NAC location, we recommend bringing the patient to an upright position to adjust the position according to the patient body morphology (12) and the transverse chest scar may serve as a leading line by mimicking the natural shadow of the pectoral muscle (22). Subgroup analysis, dividing subjects into two groups based on average BMI, revealed significant differences in the distances from lateral pectoral border to the nipple between the groups. Therefore, we proposed that the final position should be determined intra-operatively by the surgeon and tailored to each individual case. These suggested distances can be applied as a practical guideline for preliminary NAC location.
A case example demonstrated successful result after masculinize chest wall contouring. The patient was satisfied with the operation. Figure 4 showed post-operative outcomes at 2 weeks and 2 months, respectively, reflecting a natural and aesthetically pleasing results.
Limitation
First, this study included only male volunteers from Thailand, representing a Southeast Asian population, which limits the generalizability of the findings to other populations. Given the homogeneity of the cohort (all young Thai males with low BMI). Second, applying these findings in clinical settings could enhance the understanding and practical relevance of this technique. Therefore, we plan to build upon this research in the near future.
Implications
These new constants can easily be used intraoperatively by direct visualization of the pectoralis muscle in female-to-male chest contouring surgery as shown in case example.
Conclusions
This study presents a new, easily reproducible method for determining the optimal location of the NAC in double-incision mastectomy with free nipple grafts. The method has been validated by case examples, providing a reliable reference for surgeons. These parameters can serve as a guideline, but it is essential to consider intraoperative findings and adjust the placement according to the patient’s body morphology and preferences.
Acknowledgments
The authors would like to thank the Department of Plastic and Reconstructive Surgery and the Department of Diagnostic Radiology, King Chulalongkorn Memorial Hospital for their support.
Footnote
Reporting Checklist: The authors have completed the STROBE reporting checklist. Available at https://gs.amegroups.com/article/view/10.21037/gs-2025-230/rc
Data Sharing Statement: Available at https://gs.amegroups.com/article/view/10.21037/gs-2025-230/dss
Peer Review File: Available at https://gs.amegroups.com/article/view/10.21037/gs-2025-230/prf
Funding: None.
Conflicts of Interest: All authors have completed the ICMJE uniform disclosure form (available at https://gs.amegroups.com/article/view/10.21037/gs-2025-230/coif). The authors have no conflicts of interest to declare.
Ethical Statement: The authors are accountable for all aspects of the work in ensuring that questions related to the accuracy or integrity of any part of the work are appropriately investigated and resolved. This study was conducted in accordance with the Declaration of Helsinki and its subsequent amendments. The study protocol was approved by the Institutional Review Board, Faculty of Medicine, Chulalongkorn University (IRB No. 671/64). Chulalongkorn University serves as the overseeing ethics committee for research conducted within affiliated hospitals, including King Chulalongkorn Memorial Hospital. Informed consent was obtained from all participants after providing thorough information about the study.
Open Access Statement: This is an Open Access article distributed in accordance with the Creative Commons Attribution-NonCommercial-NoDerivs 4.0 International License (CC BY-NC-ND 4.0), which permits the non-commercial replication and distribution of the article with the strict proviso that no changes or edits are made and the original work is properly cited (including links to both the formal publication through the relevant DOI and the license). See: https://creativecommons.org/licenses/by-nc-nd/4.0/.
References
- Winter S, Diamond M, Green J, et al. Transgender people: health at the margins of society. Lancet 2016;388:390-400. [Crossref] [PubMed]
- Agarwal CA, Scheefer MF, Wright LN, et al. Quality of life improvement after chest wall masculinization in female-to-male transgender patients: A prospective study using the BREAST-Q and Body Uneasiness Test. J Plast Reconstr Aesthet Surg 2018;71:651-7. [Crossref] [PubMed]
- Claes KEY, D'Arpa S, Monstrey SJ. Chest Surgery for Transgender and Gender Nonconforming Individuals. Clin Plast Surg 2018;45:369-80. [Crossref] [PubMed]
- Cohen WA, Shah NR, Iwanicki M, et al. Female-to-Male Transgender Chest Contouring: A Systematic Review of Outcomes and Knowledge Gaps. Ann Plast Surg 2019;83:589-93. [Crossref] [PubMed]
- Huber PD, Bittencourt RC, Jeziorowski A. Masculinizing Mammoplasty for Female-to-Male Transgenders: 10 Years' Experience. Aesthetic Plast Surg 2024;48:3825-35. [Crossref] [PubMed]
- Bluebond-Langner R, Berli JU, Sabino J, et al. Top Surgery in Transgender Men: How Far Can You Push the Envelope? Plast Reconstr Surg 2017;139:873e-82e. [Crossref] [PubMed]
- Simon BE, Hoffman S, Kahn S. Classification and surgical correction of gynecomastia. Plast Reconstr Surg 1973;51:48-52. [Crossref] [PubMed]
- Wolter A, Diedrichson J, Scholz T, et al. Sexual reassignment surgery in female-to-male transsexuals: an algorithm for subcutaneous mastectomy. J Plast Reconstr Aesthet Surg 2015;68:184-91. [Crossref] [PubMed]
- Lo Russo G, Tanini S, Innocenti M. Masculine Chest-Wall Contouring in FtM Transgender: a Personal Approach. Aesthetic Plast Surg 2017;41:369-74. [Crossref] [PubMed]
- Atiyeh BS, Dibo SA, El Chafic AH. Vertical and horizontal coordinates of the nipple-areola complex position in males. Ann Plast Surg 2009;63:499-502. [Crossref] [PubMed]
- Beer GM, Budi S, Seifert B, et al. Configuration and localization of the nipple-areola complex in men. Plast Reconstr Surg 2001;108:1947-52; discussion 1953. [Crossref] [PubMed]
- Monstrey S, Selvaggi G, Ceulemans P, et al. Chest-wall contouring surgery in female-to-male transsexuals: a new algorithm. Plast Reconstr Surg 2008;121:849-59. [Crossref] [PubMed]
- Tanini S, Lo Russo G. Shape, Position and Dimension of the Nipple Areola Complex in the Ideal Male Chest: A Quick and Simple Operating Room Technique. Aesthetic Plast Surg 2018;42:951-7. [Crossref] [PubMed]
- Tanini S, Calabrese S, Lo Russo G. The Importance of Nipple-Areola Complex Position in Chest Masculinization Surgery. Aesthetic Plast Surg 2021;45:829-30. [Crossref] [PubMed]
- Agarwal CA, Wall VT, Mehta ST, et al. Creation of an Aesthetic Male Nipple Areolar Complex in Female-to-Male Transgender Chest Reconstruction. Aesthetic Plast Surg 2017;41:1305-10. [Crossref] [PubMed]
- Kasai S, Shimizu Y, Nagasao T, et al. An anatomic study of nipple position and areola size in Asian men. Aesthet Surg J 2015;35:NP20-7. [Crossref] [PubMed]
- Yue D, Cooper LRL, Kerstein R, et al. Defining Normal Parameters for the Male Nipple-Areola Complex: A Prospective Observational Study and Recommendations for Placement on the Chest Wall. Aesthet Surg J 2018;38:742-8. [Crossref] [PubMed]
- Shulman O, Badani E, Wolf Y, et al. Appropriate location of the nipple-areola complex in males. Plast Reconstr Surg 2001;108:348-51. [Crossref] [PubMed]
- Maas M, Howell AC, Gould DJ, et al. The Ideal Male Nipple-Areola Complex: A Critical Review of the Literature and Discussion of Surgical Techniques for Female-to-Male Gender-Confirming Surgery. Ann Plast Surg 2020;84:334-40. [Crossref] [PubMed]
- von Elm E, Altman DG, Egger M, et al. The Strengthening the Reporting of Observational Studies in Epidemiology (STROBE) statement: guidelines for reporting observational studies. Lancet 2007;370:1453-7. [Crossref] [PubMed]
- Mett TR, Krezdorn N, Luketina R, et al. Optimal Positioning of the Nipple-Areola Complex in Men Using the Mohrenheim-Estimated-Tangential-Tracking-Line (METT-Line): An Intuitive Approach. Aesthetic Plast Surg 2017;41:1295-302. [Crossref] [PubMed]
- Diyarbakirlioglu M, Ercan A, Dogan Y. Correction of High-Grade Pseudogynecomastia After Massive Weight Loss: Modified Inferior Dermoglandular Pedicled Transverse Scar Reduction. Aesthetic Plast Surg 2020;44:435-41. [Crossref] [PubMed]

