Potential higher malignancy of nonfunctional parathyroid carcinoma: a case series study
Highlight box
Key findings
• The poor prognosis of nonfunctional parathyroid carcinoma may also be related to its higher malignant potential. The Ki-67 level is positively correlated with the malignant potential of parathyroid carcinoma.
What is known and what is new?
• The prognosis of patients with nonfunctional parathyroid carcinoma is generally worse than that of patients with functional parathyroid carcinoma. In the past, it was believed that this was due to the concealment of nonfunctional parathyroid carcinoma, which led to late detection and diagnosis.
• Our study found that the poor prognosis of nonfunctional parathyroid carcinoma may reflect biological behavior and a potentially higher malignant potential.
What is the implication, and what should change now?
• Nonfunctional parathyroid carcinoma may have a higher level of malignancy and be more prone to metastasis and may thus warrant heightened attention in clinical practice.
Introduction
Parathyroid carcinoma, first reported by Quervain in 1909 (1), is an exceedingly rare malignancy among endocrine cancers. James et al. analyzed data from the US National Cancer Center and found that the incidence of parathyroid carcinoma is approximately 3.6 cases per 10 million individuals (2). The majority of parathyroid carcinomas are functional, presenting with clinical symptoms of hyperparathyroidism such as elevated parathyroid hormone (PTH) levels and hypercalcemia. However, about 10% of parathyroid carcinomas are nonfunctional, with normal PTH and calcium levels. Patients with nonfunctional parathyroid carcinoma tend to have a worse prognosis than do those with the functional counterpart, primarily because the nonfunctional type is clinically occult and difficult to detect, often presenting at an advanced stage (3,4). According to our center’s experience, this may also be related to the higher malignant potential of nonfunctional parathyroid carcinoma. We present this article in accordance with the AME Case Series reporting checklist (available at https://gs.amegroups.com/article/view/10.21037/gs-2025-187/rc).
Case presentation
This retrospective study of a continuous case series from a single center was approved by the Ethics Committee of the First Affiliated Hospital of Zhejiang University (No. 20230053). All procedures performed in this study were in accordance with the Declaration of Helsinki and its subsequent amendments. Written informed consent was obtained from the patients for the publication of this case series and accompanying images. A copy of the written consent is available for review by the editorial office of this journal.
General information
Between May 2011 and November 2022, the First Affiliated Hospital of Zhejiang University surgically treated a total of six patients with parathyroid carcinoma. The cohort consisted of two males and four females, aged between 53 and 83 years. Five patients (83.33%) presented with a neck mass, while one patient (16.67%) reported rib pain. Three patients developed severe osteoporosis, which was considered as endocrine metabolic bone disease. In this study, if PTH is beyond the normal range, it is functional; if PTH is within the normal range, it is nonfunctional. There were two cases of the extremely rare nonfunctional parathyroid carcinoma and four cases of functional parathyroid carcinoma. One patient had chronic kidney disease with secondary hyperparathyroidism (Table 1).
Table 1
| Case | Gender | Age (years) | Chief complaint | Tumor location | Palpable | Skeletal/urinary system damage | Chronic kidney disease | Functional status | Hospitalization (days) |
|---|---|---|---|---|---|---|---|---|---|
| 1 | Male | 55 | Neck mass | Right | Yes | – | – | Nonfunctional | 4 |
| 2 | Female | 83 | Neck mass | Left | Yes | Osteoporosis | – | Functional | 35 |
| 3 | Female | 53 | Neck mass | Left | Yes | – | – | Nonfunctional | 5 |
| 4 | Female | 57 | Neck mass | Left | Yes | – | – | Functional | 4 |
| 5 | Male | 65 | Neck mass | Right | Yes | Osteoporosis | – | Functional | 4 |
| 6 | Female | 55 | Rib pain | Left | No | Osteoporosis | Present | Functional | 5 |
Laboratory and imaging examinations
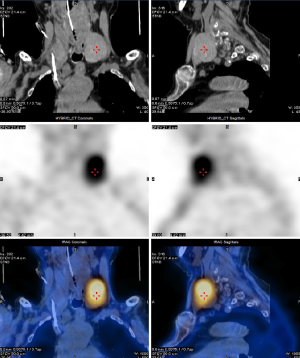
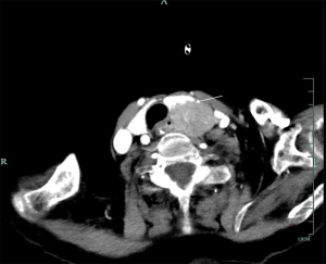
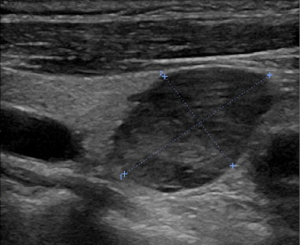
In this study, four patients with functional parathyroid carcinoma underwent preoperative ultrasound (Figure 1) and dual-phase technetium 99m sestamibi (99mTc-MIBI) parathyroid scintigraphy with single-photon emission computed tomography (SPECT)/computed tomography (CT) (Figure 2). The two patients with nonfunctional parathyroid carcinoma had preoperative ultrasound and CT scans (Figure 3). There were 2 cases where the tumors were located in the right neck and 4 cases in the left neck. On ultrasound examination, the smallest tumor measured 2.5 cm in diameter, while the largest was 11.4 cm, with five cases (83.33%) having diameters ≥3 cm (Table 2). Among the four patients with functional parathyroid carcinoma, preoperative PTH levels ranged from 269.8 to 6,012.3 ng/L, with three cases exceeding 10 times the upper limit of normal. All four patients had preoperative serum calcium levels above the upper limit of normal. In contrast, the two patients with nonfunctional parathyroid carcinoma had normal preoperative PTH and calcium levels (Table 2).
Table 2
| Case | The largest diameter of the lesion (cm) | Preoperative PTH (ng/L) | Postoperative PTH (ng/L) | Preoperative serum calcium (mmol/L) | Postoperative serum calcium (mmol/L) | ||
|---|---|---|---|---|---|---|---|
| Ultrasound | CT | SPECT/CT | |||||
| 1 | 11.4 | 11 | – | 32.5 | 42.1 | 2.32 | 2.36 |
| 2 | 3.3 | – | 3.5 | 6,012.3 | 5.6 | 3.02 | 3.3 |
| 3 | 3.6 | 3.5 | – | 45.2 | 22.3 | 2.36 | 2.25 |
| 4 | 3.0 | – | 2.9 | 269.8 | 48.7 | 2.81 | 2.03 |
| 5 | 3.5 | – | 3.2 | 1,897.6 | 3.0 | 3.16 | 2.24 |
| 6 | 2.5 | – | 2.6 | 3,356.4 | 63.5 | 3.02 | 2.09 |
CT, computed tomography; PTH, parathyroid hormone; SPECT, single-photon emission computed tomography.
Surgery and pathology
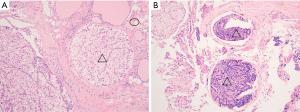
Three cases were diagnosed with parathyroid carcinoma via intraoperative frozen section pathology and underwent parathyroidectomy, ipsilateral thyroidectomy, and lymph node dissection. The remaining three cases were diagnosed with parathyroid adenoma by frozen section pathology and underwent parathyroidectomy alone (Table 3). Except for one case, the postoperative PTH and serum calcium levels normalized in all the patients with functional parathyroid carcinoma. Postoperatively, five cases were diagnosed with parathyroid carcinoma via paraffin pathology (Figure 4); only one case was misdiagnosed as an atypical adenoma. This misdiagnosed case was only confirmed as parathyroid carcinoma 5 years later when the tumor recurred and the medical history was reviewed (Table 3). Regarding tumor cell types, two cases were chief-cell type, two were mixed-cell type, one was oxyphil-cell type, and one was clear-cell type (Table 4). The tumors showed a Ki-67 index greater than or equal to 5% (Table 5). Chromogranin A (CgA) was positive in all cases, while thyroid transcription factor 1 (TTF1) and calcitonin were negative. CD56 was expressed in three cases and not expressed in three cases. Synaptophysin (Syn) was positive in two cases and negative in four cases. Cytokeratin (CK) (pan) was positive in five cases and negative in one case (Table 5).
Table 3
| Case | First surgical procedure | Duration of the surgery (min) | Surgical complications | Tumor intact/rupture | Frozen section tumor tissue evaluation | Paraffin pathology |
|---|---|---|---|---|---|---|
| 1 | Parathyroid adenoma resection | 72 | No | Intact | Atypical parathyroid adenoma | First surgery: atypical parathyroid adenoma; second surgery: parathyroid carcinoma |
| 2 | Parathyroid tumor resection with left thyroid lobe and isthmus and lymphadenectomy | 85 | No | Intact | Parathyroid carcinoma | Parathyroid carcinoma |
| 3 | Parathyroid tumor resection with right thyroid lobe and isthmus and lymphadenectomy | 92 | No | Intact | Parathyroid carcinoma | Parathyroid carcinoma |
| 4 | Parathyroid adenoma resection | 59 | No | Intact | Atypical parathyroid adenoma | Parathyroid carcinoma |
| 5 | Parathyroid adenoma resection | 63 | No | Intact | Atypical parathyroid adenoma | Parathyroid carcinoma |
| 6 | Parathyroid tumor resection with left thyroid lobe and isthmus and lymphadenectomy | 82 | No | Intact | Parathyroid carcinoma | Parathyroid carcinoma |
Table 4
| Case | The largest diameter of the tumor (cm) | Macroscopic appearance | Cellular type | Cellular atypia | Vascular invasion | Necrosis | Wide collagen strands | Capsule invasion | Surrounding tissue invasion | Thyroid invasion | Proportions of tumor component (%) |
|---|---|---|---|---|---|---|---|---|---|---|---|
| 1 | 13 | Gray white, a fish-flesh cut surface | Chief-cell type | Yes | None | Focal necrosis | Yes | Yes | None | None | 93 |
| 2 | 3 | Gray white, a fish-flesh cut surface | Oxyphil-cell type | Yes | Yes | None | Yes | Yes | Yes | Yes | 95 |
| 3 | 3 | Gray white, a fish-flesh cut surface | Clear-cell type | Yes | Yes | None | Yes | Yes | None | None | 95 |
| 4 | 3 | Grayish-yellow, with a slightly soft texture | Mixed-cell type | Yes | Yes | None | Yes | Yes | None | None | 92 |
| 5 | 3.5 | Gray white, a fish-flesh cut surface | Chief-cell type | Yes | Yes | Focal necrosis | Yes | Yes | None | None | 95 |
| 6 | 2.5 | Grayish-yellow, with a slightly soft texture | Mixed-cell type | Yes | Yes | None | Yes | Yes | Yes | None | 95 |
Table 5
| Case | Ki-67 | TTF1 | Calcitonin | CgA | CD56 | Syn | CK (pan) |
|---|---|---|---|---|---|---|---|
| 1 | 30% (diffuse) | − | − | + (diffuse) | + (focal) | − | + (focal) |
| 2 | 20% (diffuse) | − | − | + (diffuse) | − | − | + (multifocal) |
| 3 | 20% (diffuse) | − | − | + (diffuse) | + (focal) | + (multifocal) | + (focal) |
| 4 | 5% (multifocal) | − | − | + (diffuse) | − | − | + (focal) |
| 5 | 5% (multifocal) | − | − | + (diffuse) | + (focal) | − | + (multifocal) |
| 6 | 5% (multifocal) | − | − | + (diffuse) | − | + (focal) | − |
CgA, chromogranin A; CK, cytokeratin; Syn, synaptophysin; TTF1, thyroid transcription factor 1.
Recurrence and metastasis
Two cases of nonfunctional parathyroid carcinoma (case 1 and case 3) experienced recurrence and metastasis (Table 6), with Ki-67 indices of 30% and 20% (Table 5), respectively. In contrast, none of the four functional parathyroid carcinoma cases recurred. One case had a Ki-67 index of 20% (Figure 5), and three cases had a Ki-67 index of 5% (Figure 5). Case 1 experienced recurrence 65 months after surgery and subsequently underwent four surgeries, chemotherapy, radiotherapy, and targeted drug therapy. The efficacy of chemotherapy and radiotherapy were poor. Targeted drug therapy exerted a certain effect, with slight tumor shrinkage, and the case was assessed as stable disease. Case 3 experienced recurrence 8 months after surgery and subsequently underwent three surgeries, chemotherapy, and radiotherapy. Again, chemotherapy and radiotherapy were ineffective.
Table 6
| Case | Recurrence | Recurrence tumor size (cm) | Recurrence time (months) | Follow-up (months) | Death | Cause of death |
|---|---|---|---|---|---|---|
| 1 | Yes | 3 | 65 | 151 | No | − |
| 2 | No | − | − | 1 | Yes | Perioperative complications (pulmonary embolism) |
| 3 | Yes | 3.5 | 8 | 91 | No | |
| 4 | No | − | − | 89 | No | − |
| 5 | No | − | − | 74 | No | − |
| 6 | No | − | − | 17 | No | − |
Postoperative follow-up
The follow-up duration ranged from 1 to 151 months (Table 6). Five patients remained alive, while one patient died. The cause of death was a pulmonary embolism 1 month after surgery.
Discussion
Parathyroid carcinoma is an exceedingly rare endocrine malignancy, accounting for approximately 0.005% of all malignancies (5), with an overall annual incidence of less than one case per million individuals (6). The primary treatment for parathyroid carcinoma relies on surgery, which is a crucial factor influencing prognosis, especially the initial surgery (7,8). For definitively diagnosed parathyroid carcinoma, a radical resection of the parathyroid tumor with the ipsilateral thyroid lobe, including the isthmus, is recommended (9-12). Whether chemotherapy (13) or radiotherapy (14) is effective for parathyroid carcinoma remains inconclusive, with most reports, aside from individual case report (15), indicating poor efficacy.
In this study, all cases underwent surgical treatment. Three cases were diagnosed with parathyroid carcinoma via intraoperative frozen section pathology and underwent parathyroidectomy with ipsilateral thyroid lobectomy and lymphadenectomy. The remaining three cases were diagnosed with parathyroid adenoma via frozen section pathology and underwent parathyroidectomy alone. The two cases of nonfunctional parathyroid carcinoma, after experiencing multiple recurrences, underwent radiotherapy and chemotherapy, both of which were ineffective. In recent years, there have been reports indicating the efficacy of targeted drug therapy for parathyroid carcinoma (16,17). In this study, one case of nonfunctional parathyroid carcinoma was treated with the targeted drug surufatinib, leading to a reduction in the size of the recurrent tumor and achieving promising results. Targeted drugs hold great promise in the treatment of parathyroid carcinoma and merit further exploration.
The diagnosis of parathyroid carcinoma is extremely challenging, especially preoperatively (18,19). Functional parathyroid carcinoma presents clinically with symptoms identical to those of hyperparathyroidism caused by parathyroid adenomas, making differentiation between the two difficult. Some researchers found that when PTH levels exceed 10 times the upper limit of normal (3) or when serum calcium levels are greater than 3 mmol/L in conjunction with a parathyroid tumor diameter larger than 3 cm, a diagnosis of parathyroid carcinoma should be highly considered (19). In this study, PTH levels exceeded 10 times the upper limit of normal in three cases (50%), and serum calcium levels were greater than 3 mmol/L with tumor diameters larger than 3 cm in two cases (33.3%). However, these characteristics are also present in many parathyroid adenomas and therefore cannot serve as the sole diagnostic criterion. Parathyroid carcinoma may appear as a larger tumor with a diameter often exceeding 3 cm or with unclear margins on ultrasound, CT, or magnetic resonance imaging (Figures 1-3). However, these features can also be observed in parathyroid adenomas. Thus, while imaging studies can help detect and localize parathyroid tumors, diagnosing parathyroid carcinoma based solely on imaging is extremely difficult (20). Most cases of parathyroid carcinoma are diagnosed through postoperative histopathological examination, as was the case with all six patients in this study.
Intraoperative frozen section pathology has low sensitivity for parathyroid carcinoma and frequently misdiagnoses it as a parathyroid adenoma, with most cases requiring postoperative paraffin pathology for a definitive diagnosis (14). The pathological diagnosis of parathyroid carcinoma relies on clear evidence of invasiveness (such as capsular or vascular invasion and nerve invasion) or metastasis. However, these features are often not fully demonstrated in frozen sections. For instance, capsular invasion and vascular invasion need to be further confirmed through serial sections or immunohistochemistry (such as parafibromin loss and elevated Ki-67 index), which is typically performed on paraffin sections (21,22). One study reported that 50% of parathyroid carcinomas were initially pathologically diagnosed as benign (23). The results of this study interestingly align with the findings of our case series. All cases in this study underwent intraoperative frozen section pathology, with only three diagnosed as parathyroid carcinoma and three others (50%) misdiagnosed as parathyroid adenoma. Even with paraffin section pathology, diagnosing parathyroid carcinoma is highly challenging. The World Health Organization’s diagnostic criteria state that clear evidence of capsular or vascular invasion, nerve invasion, or metastasis is required to diagnose parathyroid carcinoma (24). However, in clinical practice, many cases of parathyroid carcinoma do not exhibit these clear pathological features and may only show some nuclear atypia, mitotic figures, thick fibrous tissue bands, coagulative necrosis, etc. These features are also present in parathyroid adenomas, making differentiation difficult (25,26). Five cases in this study were diagnosed with parathyroid carcinoma through paraffin section pathology. One case was misdiagnosed as an atypical adenoma and was only finally confirmed as parathyroid carcinoma when the tumor recurred.
Immunohistochemistry can assist in diagnosing parathyroid carcinoma. The literature suggests that when Ki-67 positivity exceeds 5%, parathyroid carcinoma should be highly suspected (27). In all cases examined in this study, the Ki-67 index was greater than 5%. Consequently, Ki-67 is beneficial for diagnosing parathyroid carcinoma. However, certain cases of atypical parathyroid adenoma also exhibit a Ki-67 index of 5%. Hence, Ki-67 should be utilized merely as an auxiliary diagnostic tool and not as an exclusive diagnostic criterion. Furthermore, markers such as CgA, CD56, Syn, and CK (pan) may also test positive in parathyroid carcinoma. CgA is positive in all instances of parathyroid carcinoma because it indicates neuroendocrine tumors, and all parathyroid carcinomas are classified as neuroendocrine tumors. However, these markers should not be employed in isolation to diagnose parathyroid carcinoma.
It has long been believed that nonfunctional parathyroid carcinoma involves a worse prognosis due to its more occult clinical presentation, which makes it difficult to diagnose and often leads to detection at an advanced stage. However, its malignant potential is not necessarily higher than that of functional parathyroid carcinoma (28). Only a few reports suggest that the malignancy of non-functional parathyroid carcinoma may be higher than that of functional parathyroid carcinoma (3,29). In this study, two patients with nonfunctional parathyroid carcinoma were found to have no invasion of surrounding tissues such as the nerves and muscles, or lymph node metastasis or distant metastasis, which are typical of advanced disease. One of these cases was initially misdiagnosed as atypical parathyroid adenoma. Despite this, both cases experienced recurrence and metastasis after surgery. In contrast, the other three patients with functional parathyroid carcinoma had long-term survival without recurrence. Thus, in this study, the higher propensity for recurrence and metastasis in nonfunctional parathyroid carcinoma did not appear to be due to late-stage detection but rather to its inherently higher malignant potential.
The malignancy of tumors is generally associated with cellular type. The parathyroid gland is primarily composed of chief cells and oxyphil cells, with chief cells being predominant, with the occasional presence of clear cells (30). Both oxyphil and clear cells are derived from chief cells (31). All three cell types can secrete PTH, although clear cells have a weaker secretory function compared to the others (32). Similarly, parathyroid carcinoma can be classified into a chief-cell type, oxyphil-cell type, clear-cell type, and mixed-cell type. In this study, among the cases with functional parathyroid carcinoma, one was chief-cell type, one was oxyphil-cell type, and two were mixed-cell type. Among the cases of nonfunctional parathyroid carcinoma, one was chief-cell type and the other was clear-cell type. Due to the small sample size of this study, no differences in cellular types between functional and nonfunctional parathyroid carcinomas could be identified. There may be differences in malignancy between various cellular types of parathyroid carcinoma, and larger-scale clinical studies are needed to generate reliable findings.
The malignancy of tumors is also generally related to the degree of cellular differentiation and the rate of cellular proliferation. Ki-67 is a marker of cellular proliferation activity and is closely associated with the malignancy and invasiveness of tumors. Studies (33,34) have shown that a high expression of Ki-67 is correlated with poor prognosis in parathyroid carcinoma. In this study, among the four cases of functional parathyroid carcinoma that did not experience recurrence or metastasis (excluding the one case with Ki-67 reaching 20% that died of perioperative complications), three had a Ki-67 index of 5%. In contrast, the two cases of nonfunctional parathyroid carcinoma that experienced recurrence and metastasis had Ki-67 indices of 20% and 30%, respectively, which were significantly higher than those of the cases with functional parathyroid carcinoma. However, due to the small sample size of this study, these findings did not reach statistical significance. It appears that higher Ki-67 levels may be associated with higher malignancy in parathyroid carcinoma. In this study, there was one case of functional parathyroid carcinoma with Ki-67 reaching 20%, but this case died from perioperative complications one month after surgery, so we are unable to predict the prognosis for her. The Ki-67 levels in nonfunctional parathyroid carcinoma may be higher than those in functional parathyroid carcinoma, suggesting a potentially higher malignancy and greater propensity for recurrence and metastasis. No studies have compared Ki-67 levels between nonfunctional and functional parathyroid carcinoma. Larger-scale clinical studies may yield unexpected but valuable findings.
This study has obtained some interesting speculations. However, due to the small sample size, these speculations lack solid evidence support and persuasiveness, and further large-scale clinical studies are needed to confirm them.
Conclusions
Parathyroid carcinoma is extremely rare, and both preoperative diagnosis and pathological diagnosis are highly challenging. The primary treatment modality is surgery, while radiotherapy and chemotherapy are generally ineffective, although targeted therapies show a degree of promise. Higher Ki-67 levels may be associated with higher malignancy in parathyroid carcinoma. Nonfunctional parathyroid carcinoma may involve higher Ki-67 levels and thus higher malignancy, leading to a greater propensity for recurrence and metastasis. Due to the small sample size, these speculations lack sufficient evidence to support them. Larger-scale clinical studies are needed in the future. In future clinical practice, it is reasonable to pay more attention to non-functional parathyroid carcinoma.
Acknowledgments
None.
Footnote
Reporting Checklist: The authors have completed the AME Case Series reporting checklist. Available at https://gs.amegroups.com/article/view/10.21037/gs-2025-187/rc
Peer Review File: Available at https://gs.amegroups.com/article/view/10.21037/gs-2025-187/prf
Funding: This work was supported by
Conflicts of Interest: All authors have completed the ICMJE uniform disclosure form (available at https://gs.amegroups.com/article/view/10.21037/gs-2025-187/coif). M.B. serves as Associate Editor-in-Chief of Gland Surgery from September 2024 to August 2026. The other authors have no conflicts of interest to declare.
Ethical Statement:
Open Access Statement: This is an Open Access article distributed in accordance with the Creative Commons Attribution-NonCommercial-NoDerivs 4.0 International License (CC BY-NC-ND 4.0), which permits the non-commercial replication and distribution of the article with the strict proviso that no changes or edits are made and the original work is properly cited (including links to both the formal publication through the relevant DOI and the license). See: https://creativecommons.org/licenses/by-nc-nd/4.0/.
References
- Quervain FD. Parastruma maligna aberrata. Deutsche Zeitschrift Fuer Chirurgie 1909;100:334-52.
- James BC, Aschebrook-Kilfoy B, Cipriani N, et al. The Incidence and Survival of Rare Cancers of the Thyroid, Parathyroid, Adrenal, and Pancreas. Ann Surg Oncol 2016;23:424-33. [Crossref] [PubMed]
- Schaapveld M, Jorna FH, Aben KK, et al. Incidence and prognosis of parathyroid gland carcinoma: a population-based study in The Netherlands estimating the preoperative diagnosis. Am J Surg 2011;202:590-7. [Crossref] [PubMed]
- Klink BK, Karulf RE, Maimon WN, et al. Nonfunctioning parathyroid carcinoma. Am Surg 1991;57:463-7.
- Goswamy J, Lei M, Simo R. Parathyroid carcinoma. Curr Opin Otolaryngol Head Neck Surg 2016;24:155-62. [Crossref] [PubMed]
- Lee PK, Jarosek SL, Virnig BA, et al. Trends in the incidence and treatment of parathyroid cancer in the United States. Cancer 2007;109:1736-41. [Crossref] [PubMed]
- Kubal M, Lech M, Lajeunesse-Trempe F, et al. Advances in the management of parathyroid carcinoma. Mol Cell Endocrinol 2024;592:112329. [Crossref] [PubMed]
- Lazzaro A, Zhao GQ, Kulke M. Diagnosis and Management of Parathyroid Carcinoma. Clin Pharmacol Ther 2024;116:1496-505. [Crossref] [PubMed]
- Xue S, Chen H, Lv C, et al. Preoperative diagnosis and prognosis in 40 Parathyroid Carcinoma Patients. Clin Endocrinol (Oxf) 2016;85:29-36. [Crossref] [PubMed]
- Salcuni AS, Cetani F, Guarnieri V, et al. Parathyroid carcinoma. Best Pract Res Clin Endocrinol Metab 2018;32:877-89. [Crossref] [PubMed]
- Gurrado A, Pasculli A, Avenia N, et al. Parathyroid Retrospective Analysis of Neoplasms Incidence (pTRANI Study): An Italian Multicenter Study on Parathyroid Carcinoma and Atypical Parathyroid Tumour. J Clin Med 2023;12:6297. [Crossref] [PubMed]
- Canu GL, Medas F, Cappellacci F, et al. Is extensive surgery really necessary in patients with parathyroid carcinoma? Single-centre experience and a brief review of the literature. Ann Ital Chir 2021;92:227-33.
- Tsoli M, Angelousi A, Rontogianni D, et al. Atypical manifestation of parathyroid carcinoma with late-onset distant metastases. Endocrinol Diabetes Metab Case Rep 2017;2017:17-0106. [Crossref] [PubMed]
- Shane E. Clinical review 122: Parathyroid carcinoma. J Clin Endocrinol Metab 2001;86:485-93. [Crossref] [PubMed]
- Kim NH, Kim CA, Chung SR, et al. Successful Multimodal Treatment of Locally Advanced Parathyroid Carcinoma. JCEM Case Rep 2024;2:luae208. [Crossref] [PubMed]
- Ito Y, Imaizumi T, Daido H, et al. Sporadic Parathyroid Carcinoma Treated With Lenvatinib, Exhibiting a Novel Somatic MEN1 Mutation. JCEM Case Rep 2024;2:luae121. [Crossref] [PubMed]
- Viswanath A, Drakou EE, Lajeunesse-Trempe F, et al. Parathyroid carcinoma: New insights. Best Pract Res Clin Endocrinol Metab 2025;39:101966. [Crossref] [PubMed]
- Mahboobipour AA, Pourabdollah M, Hadaegh F, et al. Metastatic parathyroid carcinoma diagnosed after five surgical attempts: a case report and review of the literature. J Cardiothorac Surg 2024;19:642. [Crossref] [PubMed]
- Schulte KM, Talat N. Diagnosis and management of parathyroid cancer. Nat Rev Endocrinol 2012;8:612-22. [Crossref] [PubMed]
- Patel CN, Salahudeen HM, Lansdown M, et al. Clinical utility of ultrasound and 99mTc sestamibi SPECT/CT for preoperative localization of parathyroid adenoma in patients with primary hyperparathyroidism. Clin Radiol 2010;65:278-87. [Crossref] [PubMed]
- Obara T, Fujimoto Y. Diagnosis and treatment of patients with parathyroid carcinoma: an update and review. World J Surg 1991;15:738-44. [Crossref] [PubMed]
- Favia G, Lumachi F, Polistina F, et al. Parathyroid carcinoma: sixteen new cases and suggestions for correct management. World J Surg 1998;22:1225-30. [Crossref] [PubMed]
- Sandelin K. Parathyroid carcinoma. Cancer Treat Res 1997;89:183-92. [Crossref] [PubMed]
- Lloyd RV, Osamura RY, Kloppel G, et al. WHO classification of tumours of endocrine organs. WHO Classification of Tumours. 4th Edition, Volume 10. Lyon: IARC; 2017.
- Bondeson L, Sandelin K, Grimelius L. Histopathological variables and DNA cytometry in parathyroid carcinoma. Am J Surg Pathol 1993;17:820-9. [Crossref] [PubMed]
- DeLellis RA. Parathyroid carcinoma: an overview. Adv Anat Pathol 2005;12:53-61. [Crossref] [PubMed]
- Abbona GC, Papotti M, Gasparri G, et al. Proliferative activity in parathyroid tumors as detected by Ki-67 immunostaining. Hum Pathol 1995;26:135-8. [Crossref] [PubMed]
- Campennì A, Ruggeri RM, Sindoni A, et al. Parathyroid carcinoma presenting as normocalcemic hyperparathyroidism. J Bone Miner Metab 2012;30:367-72. [Crossref] [PubMed]
- Fernandez-Ranvier GG, Jensen K, Khanafshar E, et al. Nonfunctioning parathyroid carcinoma: case report and review of literature. Endocr Pract 2007;13:750-7. [Crossref] [PubMed]
- Ritter CS, Haughey BH, Miller B, et al. Differential gene expression by oxyphil and chief cells of human parathyroid glands. J Clin Endocrinol Metab 2012;97:E1499-505. [Crossref] [PubMed]
- Lin S, Pan J, Wang Q, et al. Research proceedings on the chief to oxyphil cell transdifferentiation in secondary hyperparathyroidism. The New Perspectives Journal of Medicine 2024;1:249-52.
- Kitazawa R, Kitazawa S, Maeda S, et al. Expression of parathyroid hormone-related protein (PTHrP) in parathyroid tissue under normal and pathological conditions. Histol Histopathol 2002;17:179-84. [Crossref] [PubMed]
- Ryhänen EM, Leijon H, Metso S, et al. A nationwide study on parathyroid carcinoma. Acta Oncol 2017;56:991-1003. [Crossref] [PubMed]
- La Rosa S. Diagnostic, Prognostic, and Predictive Role of Ki67 Proliferative Index in Neuroendocrine and Endocrine Neoplasms: Past, Present, and Future. Endocr Pathol 2023;34:79-97. [Crossref] [PubMed]

